Table of Contents



Washington University Experience | MYELIN (NON-IMMUNE MEDIATED) | CADASIL | 11E2B (Case 11) BlkD skin EM 005 - Copy

11E2B (Case 11) BlkD skin EM 005 - Copy
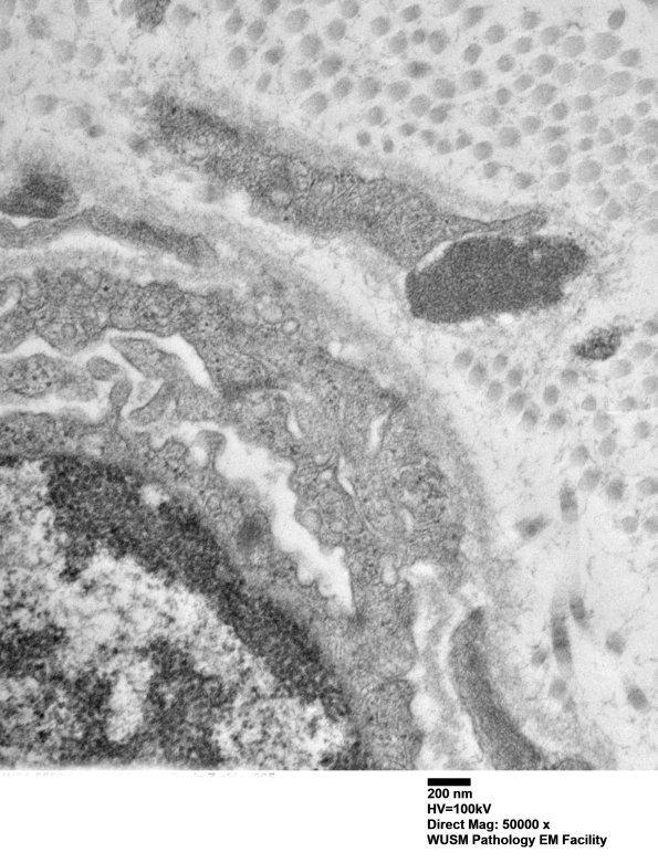
11E2B A small vessel and GOM. (electron micrograph)


Gallery RSS RSS Feed | Archive View | Login | Powered by Zenphoto