Table of Contents



Washington University Experience | MYELIN (NON-IMMUNE MEDIATED) | CADASIL | 11E3A (Case 11) BlkD skin EM 008 - Copy

11E3A (Case 11) BlkD skin EM 008 - Copy
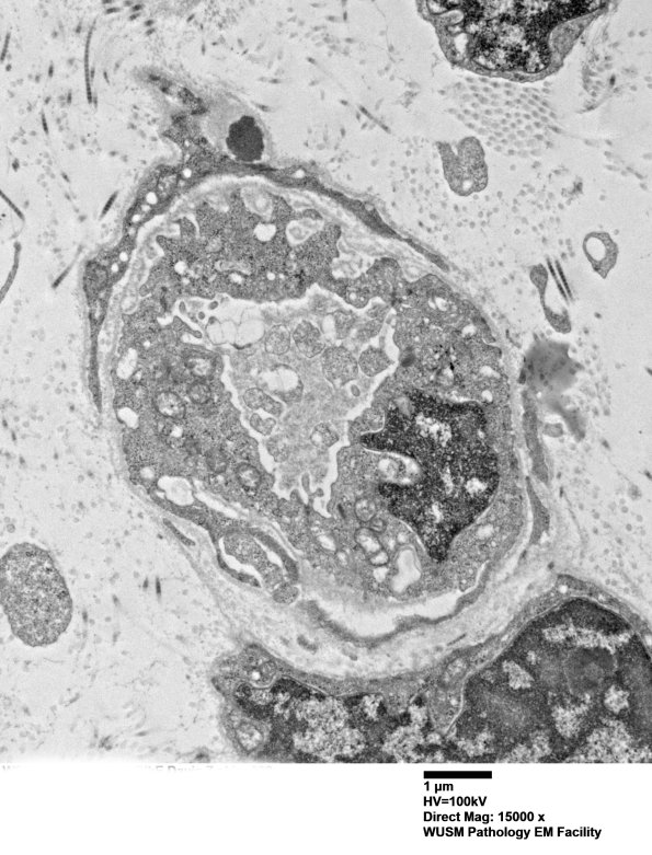
11E3A Another small vessel with scattered GOMs. (electron micrograph)


Gallery RSS RSS Feed | Archive View | Login | Powered by Zenphoto