Table of Contents
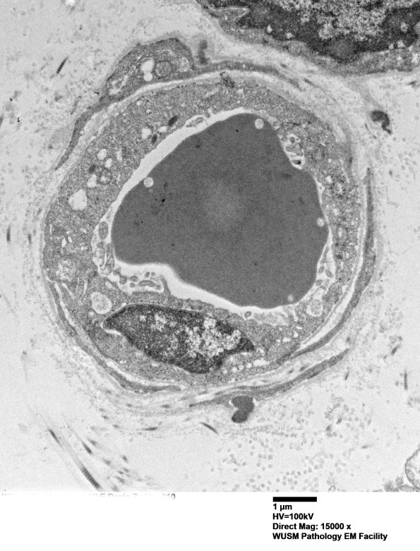
Washington University Experience | MYELIN (NON-IMMUNE MEDIATED) | CADASIL | 11E4A (Case 11) BlkD skin EM 010 - Copy
11E4A A small vessel with plump endothelial cells and thinned smooth muscle cells with scattered GOMs. (electron micrograph)
