Table of Contents
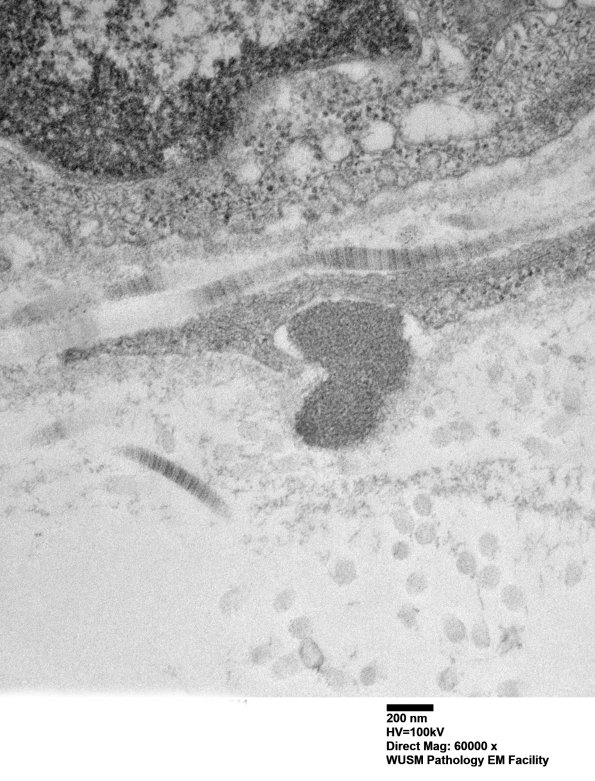
Washington University Experience | MYELIN (NON-IMMUNE MEDIATED) | CADASIL | 11E4B (Case 11) BlkD skin EM 011 - Copy
11E4B A small vessel with plump endothelial cells and thinned smooth muscle cells with scattered GOMs. (electron micrograph)
