Table of Contents
Washington University Experience | MYELIN (NON-IMMUNE MEDIATED) | CADASIL | 11E5A (Case 11) BlkD skin EM 012 - Copy
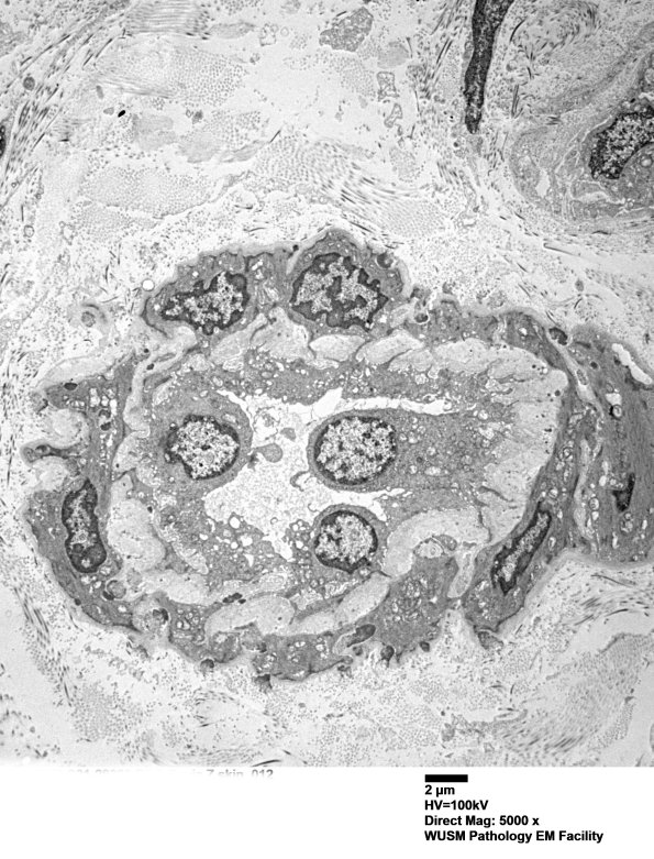
11E5A A microvessel with prominent endothelia and smooth muscle cells which appear atrophic. (electron micrograph)
