Table of Contents
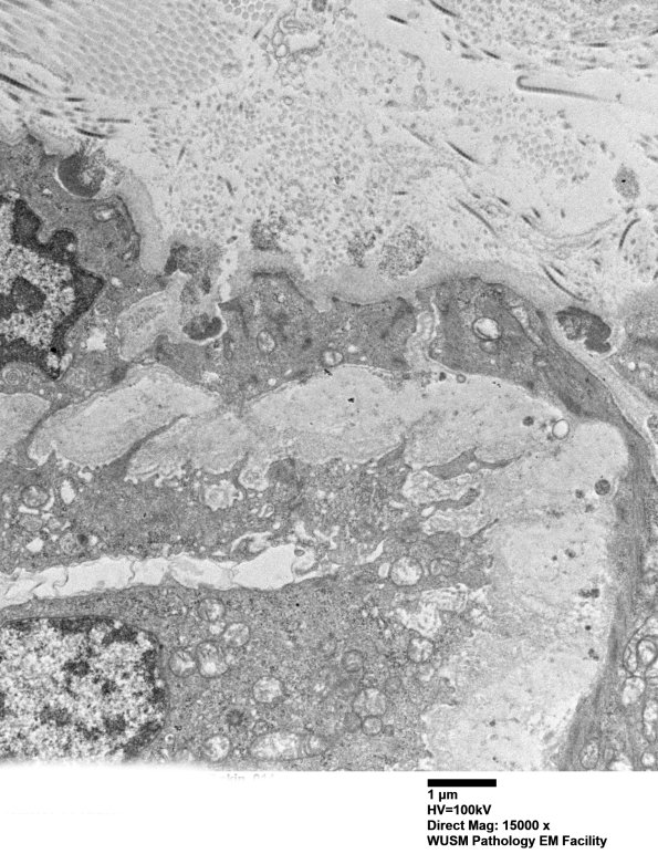
Washington University Experience | MYELIN (NON-IMMUNE MEDIATED) | CADASIL | 11E5B (Case 11) BlkD skin EM 014 - Copy
11E5B Higher magnification of the vascular wall showing several GOM within the basal membrane of smooth muscle cells. (electron micrograph)
