Table of Contents



Washington University Experience | MYELIN (NON-IMMUNE MEDIATED) | CADASIL | 11E5C (Case 11) BlkD skin EM 015 - Copy

11E5C (Case 11) BlkD skin EM 015 - Copy
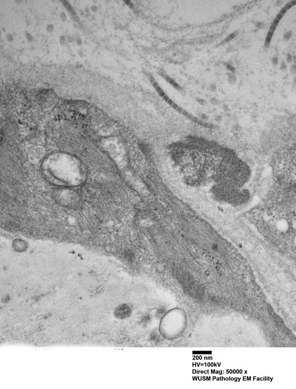
11E5C Higher magnification of the GOMs of image #11E5B. (electron micrograph)


Gallery RSS RSS Feed | Archive View | Login | Powered by Zenphoto