Table of Contents



Washington University Experience | MYELIN (NON-IMMUNE MEDIATED) | CADASIL | 11E5E (Case 11) BlkD skin EM 016 - Copy

11E5E (Case 11) BlkD skin EM 016 - Copy
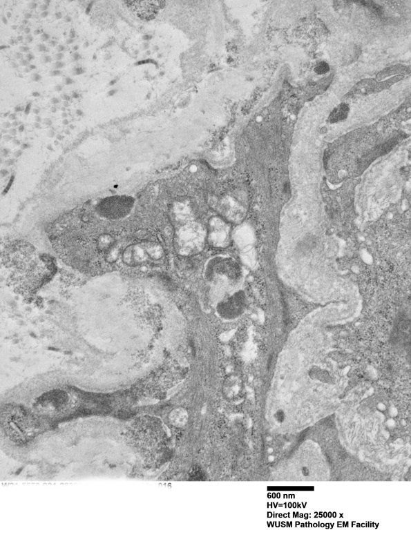
11E5E Several GOMs involving a separate part of the vessel wall. (electron micrograph)


Gallery RSS RSS Feed | Archive View | Login | Powered by Zenphoto