Table of Contents
« prev
next »
Washington University Experience
|
MYELIN (NON-IMMUNE MEDIATED)
|
CADASIL
|
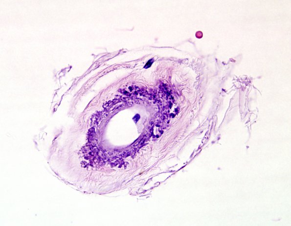
3D7 CADASIL (Case 3) H&E 5 (2)
High magnification image of a small arteriole with granular mural material (H&E)
Image Info
Camera Maker:
Olympus Corporation
Camera Model:
DP70
Original Time Taken:
24-05-2016
Shutter Speed:
1/116 sec
ISO Sensitivity:
200
Metering Mode:
Spot
Gallery RSS
|
Archive View
|
Login
|
Powered by
Zenphoto