Table of Contents
« prev
next »
Washington University Experience
|
MYELIN (NON-IMMUNE MEDIATED)
|
CADASIL
|
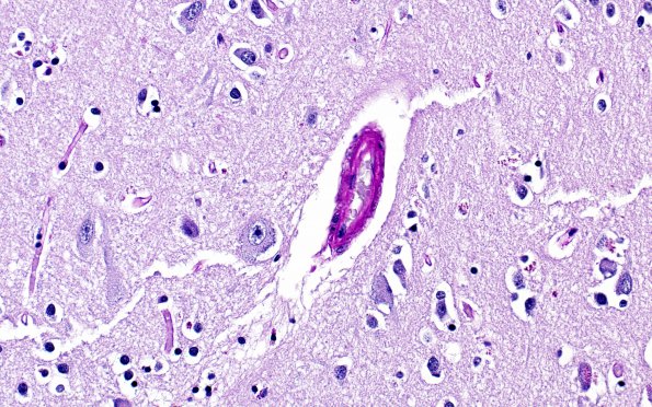
6D3 CADASIL (Case 6) N4 LFB-PAS 40X 3
Arteriolar vessel within the cortical gray matter shows little vasculopathy (LFB-PAS)
Image Info
Camera Maker:
Olympus
Camera Model:
DP74 #1
Shutter Speed:
19/2790 sec
Metering Mode:
Average
Gallery RSS
|
Archive View
|
Login
|
Powered by
Zenphoto