Table of Contents



Washington University Experience | MYELIN (NON-IMMUNE MEDIATED) | CADASIL | 8B5 CADASIL (AANP 1994, Case 8) H&E X14

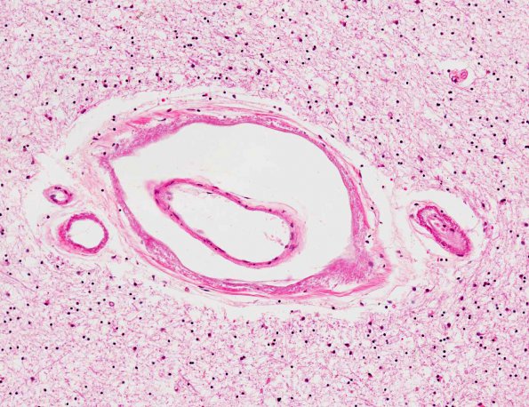
8B5 CADASIL (AANP 1994, Case 8) H&E X14
Scattered vessels show a double barrel lumen appearance (H&E)


Gallery RSS RSS Feed | Archive View | Login | Powered by Zenphoto