Table of Contents
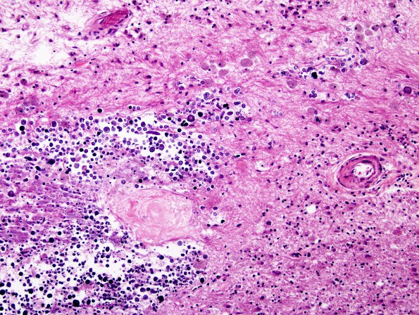
Washington University Experience | MYELIN (NON-IMMUNE MEDIATED) | Retinal Vasculopathy with Cerebral Leukoencephalopathy (RVCL, TREX1 Mutation) | 12B3 Cerebroretinal Vasculopathy, CRV, RVCL, TREX, HERNS, Case 12) H&E 3
Higher magnification of area depicted by 12B1 (H&E)
