Table of Contents
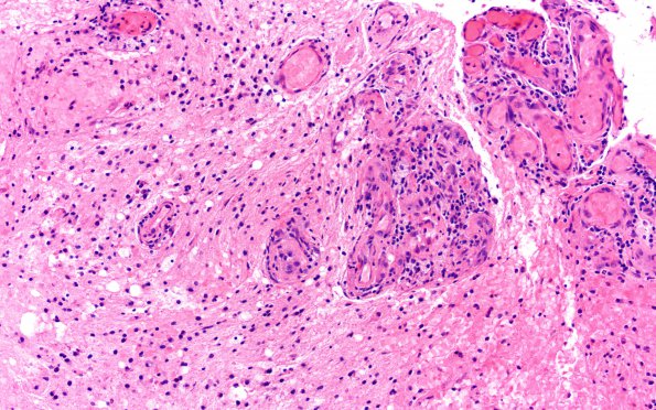
Washington University Experience | MYELIN (NON-IMMUNE MEDIATED) | Retinal Vasculopathy with Cerebral Leukoencephalopathy (RVCL, TREX1 Mutation) | 15B3 CRV (Case 15) A3 H&E 20X 1
The vasculature is collected in proliferative groups with prominent endothelial cells and vessels with mildly thickened collagenous walls. The intervening parenchyma is pale with numerous macrophages and proliferating astrocytes. (H&E)
