Table of Contents
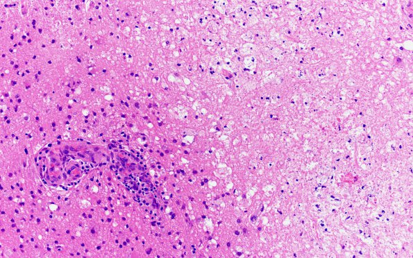
Washington University Experience | MYELIN (NON-IMMUNE MEDIATED) | Retinal Vasculopathy with Cerebral Leukoencephalopathy (RVCL, TREX1 Mutation) | 15B4 CRV (Case 15) A3 H&E 20X
The junction of inflammatory vessels with well stained myelin adjacent to a necrotic focus with numerous macrophages with a hint of calcium dusting. (H&E)
