Table of Contents
Washington University Experience | MYELIN (NON-IMMUNE MEDIATED) | Retinal Vasculopathy with Cerebral Leukoencephalopathy (RVCL, TREX1 Mutation) | 16B3 RVCL (Case16) N11 H&E 10X
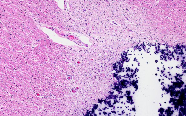
Higher magnification of the borders of the lesion show myelin pallor and astrocytosis. The vasculopathy in this section is minimal. (H&E)
