Table of Contents
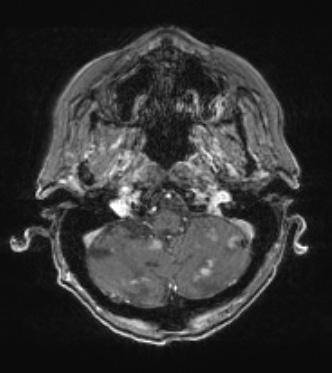
Washington University Experience | MYELIN (NON-IMMUNE MEDIATED) | Retinal Vasculopathy with Cerebral Leukoencephalopathy (RVCL, TREX1 Mutation) | 17A3 (Case 17) T1W 2 - Copy
Cerebellar T1-weighted scan with applied contrast demonstrates numerous deep and superficial lesions.
