Table of Contents
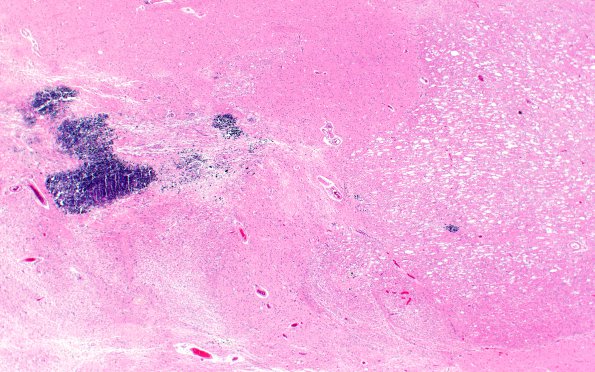
Washington University Experience | MYELIN (NON-IMMUNE MEDIATED) | Retinal Vasculopathy with Cerebral Leukoencephalopathy (RVCL, TREX1 Mutation) | 17C3 RVCL (Case 17) N13 H&E 2X
17C3-5 Higher magnification examination shows calcifications, myelin pallor, astrocytosis, necrosis and angiopathy. (H&E)
