Table of Contents
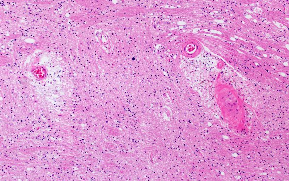
Washington University Experience | MYELIN (NON-IMMUNE MEDIATED) | Retinal Vasculopathy with Cerebral Leukoencephalopathy (RVCL, TREX1 Mutation) | 17C6 RVCL (Case 17) N13 H&E 10X 2
These small vessels show fibrin deposition and hyalinization. (H&E)
