Table of Contents
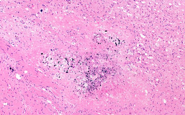
Washington University Experience | MYELIN (NON-IMMUNE MEDIATED) | Retinal Vasculopathy with Cerebral Leukoencephalopathy (RVCL, TREX1 Mutation) | 17C7 RVCL (Case 17) N13 H&E 10X 3
Higher magnification of the damaged white matter shows prominent pallor and necrosis, astrocytosis, and scattered axonal spheroids. (H&E)
