Table of Contents
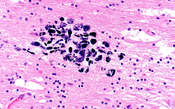
Washington University Experience | MYELIN (NON-IMMUNE MEDIATED) | Retinal Vasculopathy with Cerebral Leukoencephalopathy (RVCL, TREX1 Mutation) | 17C9 RVCL (Case 17) N13 H&E 40X 2
Calcifications involve macrophages and decorate axons and swellings. (H&E)
