Table of Contents
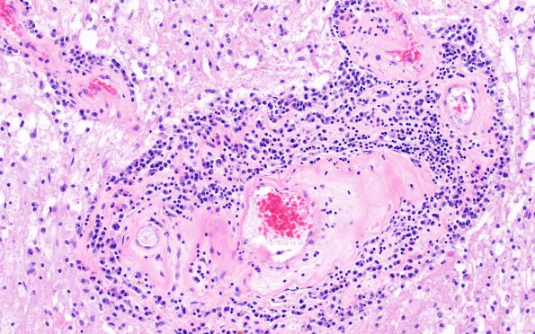
Washington University Experience | MYELIN (NON-IMMUNE MEDIATED) | Retinal Vasculopathy with Cerebral Leukoencephalopathy (RVCL, TREX1 Mutation) | 17D2 RVCL (Case 17) N4 20X
Most lesions are remote/inactive in histologic appearance; however, these developing lesions have parenchymal and perivascular infiltrate which are largely dominated by lymphocytes and an early histiocytic infiltrate.
