Table of Contents
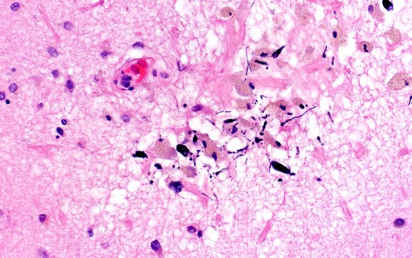
Washington University Experience | MYELIN (NON-IMMUNE MEDIATED) | Retinal Vasculopathy with Cerebral Leukoencephalopathy (RVCL, TREX1 Mutation) | 18E3 TREX1 Disease (Case 18) H&E N1 40X 1
18E3,4 Mineralized axons and neurons in the cortex of image #1E2. (H&E)
