Table of Contents
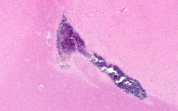
Washington University Experience | MYELIN (NON-IMMUNE MEDIATED) | Retinal Vasculopathy with Cerebral Leukoencephalopathy (RVCL, TREX1 Mutation) | 18E5 TREX1 Disease (Case 18) H&E N18 4X 1
A typical mineralized area surrounded by white matter pallor. (H&E)
