Table of Contents
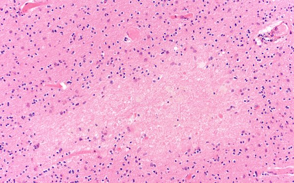
Washington University Experience | MYELIN (NON-IMMUNE MEDIATED) | Retinal Vasculopathy with Cerebral Leukoencephalopathy (RVCL, TREX1 Mutation) | 18E6 TREX1 Disease (Case 18) H&E N18 20X 1
A very pale white matter focus with loss of oligodendrocytes, a few axonal spheroids and mild astrocytosis. (H&E)
