Table of Contents
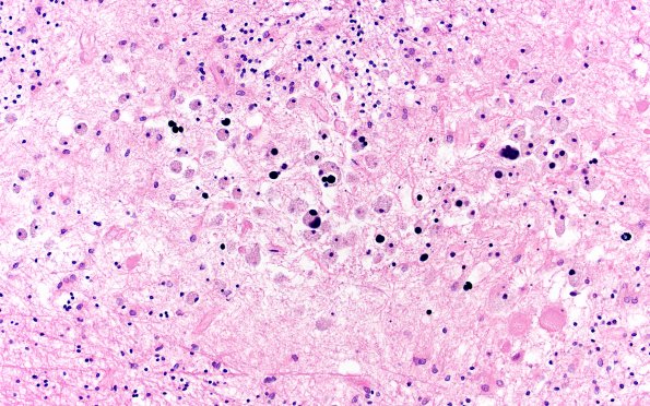
Washington University Experience | MYELIN (NON-IMMUNE MEDIATED) | Retinal Vasculopathy with Cerebral Leukoencephalopathy (RVCL, TREX1 Mutation) | 18E9 TREX1 Disease (Case 18) H&E N20 20X 2
Higher magnification of image #18E7 showing acellular vessels, reactive astrocytosis, parenchymal loss and admixed macrophages. There are multifocal, 0.1 to 0.3 cm areas of granular dystrophic calcifications within the white matter with surrounding gliosis, axonal spheroids, and foamy macrophages (H&E)
