Table of Contents
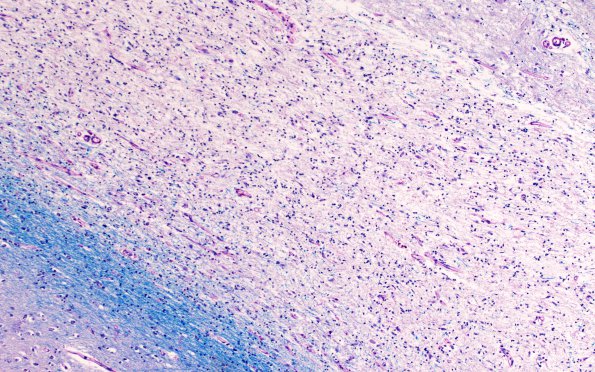
Washington University Experience | MYELIN (NON-IMMUNE MEDIATED) | Retinal Vasculopathy with Cerebral Leukoencephalopathy (RVCL, TREX1 Mutation) | 1C4 CRV, TREX (Case 1 Autopsy) N3 LFB-PAS WM 10X
Subcortical U fibers are preserved (LFB-PAS)
