Table of Contents
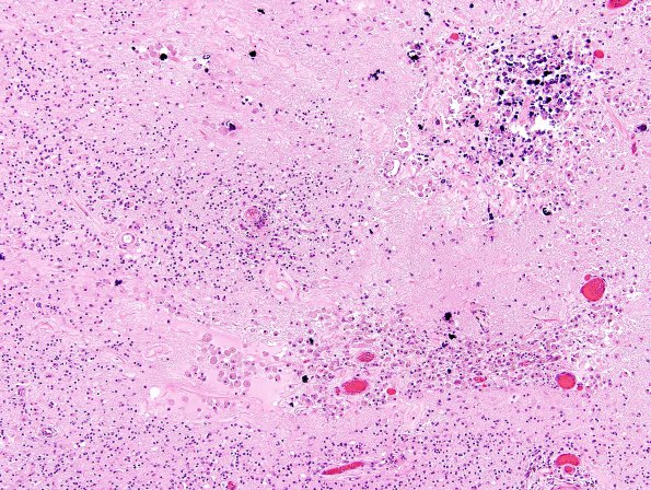
Washington University Experience | MYELIN (NON-IMMUNE MEDIATED) | Retinal Vasculopathy with Cerebral Leukoencephalopathy (RVCL, TREX1 Mutation) | 3B4 Cerebroretinal Vasculopathy (CRV, TREX, HERNS, Case 3) N16 H&E 3
There is loss of white matter with macrophage infiltration, areas of unresolved necrosis, hyalinized vessels and, occasionally, fibrinoid necrosis of the vasculature, nd dystrophic calcifications. (H&E)
