Table of Contents
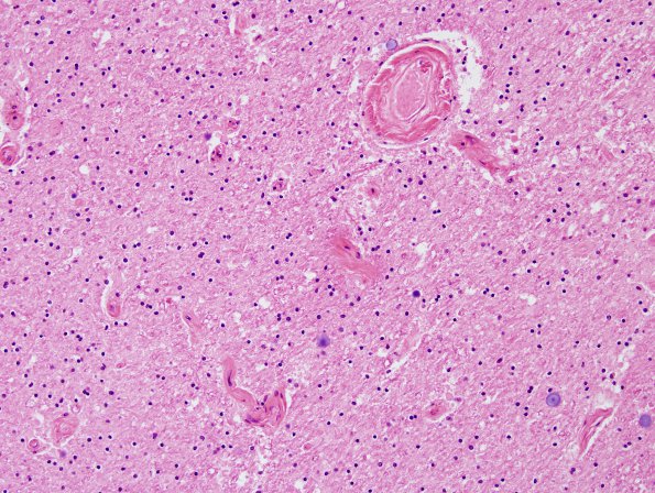
Washington University Experience | MYELIN (NON-IMMUNE MEDIATED) | Retinal Vasculopathy with Cerebral Leukoencephalopathy (RVCL, TREX1 Mutation) | 3C5 Cerebroretinal Vasculopathy (CRV, TREX, HERNS, Case 3) H&E 7A
Higher magnification of one of the vessels in the previous image (H&E)
