Table of Contents
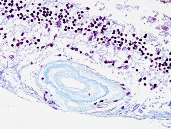
Washington University Experience | MYELIN (NON-IMMUNE MEDIATED) | Retinal Vasculopathy with Cerebral Leukoencephalopathy (RVCL, TREX1 Mutation) | 4N5 Cerebroretinal vasculopathy, CRV, RVCL, TREX, HERNS, Case 4) 1DD-R4 Trichrome 3
The vascular profiles were collagenous, as demonstrated by the pale blue appearance in this trichrome stain (Masson's trichrome histochemical stain)
