Table of Contents
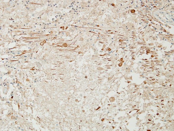
Washington University Experience | MYELIN (NON-IMMUNE MEDIATED) | Retinal Vasculopathy with Cerebral Leukoencephalopathy (RVCL, TREX1 Mutation) | 5D4 Cerebroretinal Vasculopathy, CRV, RVCL, TREX, HERNS, Case 5) NF 20X (2)
5D4 Axons are diminished in number in the same area as 5D3 and show focal dilatations in this destructive non-demyelinative process (NF IHC)
