Table of Contents
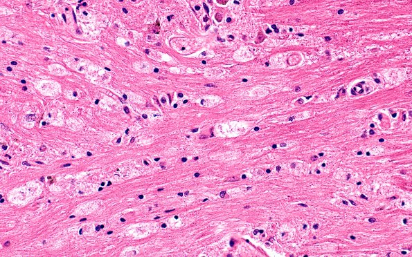
Washington University Experience | MYELIN (NON-IMMUNE MEDIATED) | Central Pontine Myelinolysis (CPM) | 10C4 CPM (Case 10) H&E 40X
The junction between an intact myelinated tract and a demyelinated area is shown at high magnification (H&E)
