Table of Contents
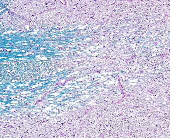
Washington University Experience | MYELIN (NON-IMMUNE MEDIATED) | Central Pontine Myelinolysis (CPM) | 8B3 CPM (Case 8) LFB-PAS 10X 2
8B3,4 Paired 10X images from this case comparing myelin (LFB-PAS) and axonal stained (Bielschowsky) material in near sequential images at multiple magnifications.
