Table of Contents
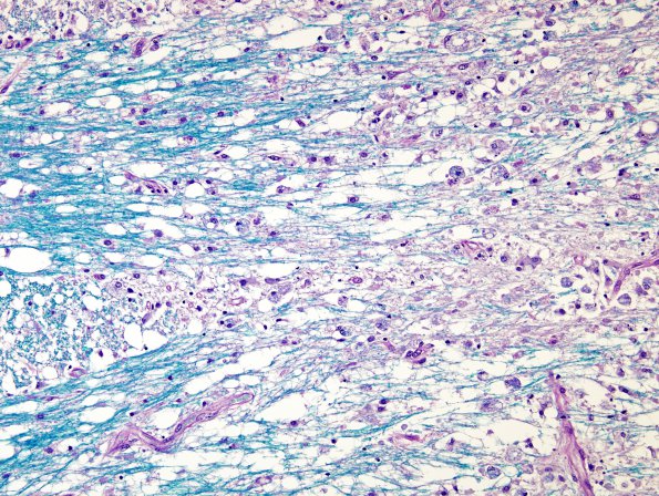
Washington University Experience | MYELIN (NON-IMMUNE MEDIATED) | Central Pontine Myelinolysis (CPM) | 8B5 CPM (Case 8) LFB-PAS 20X 3
8B5,6 Paired 20X images from this case comparing myelin (LFB-PAS) and axon stained (Bielschowsky) material in near sequential images at multiple magnifications.
