Table of Contents
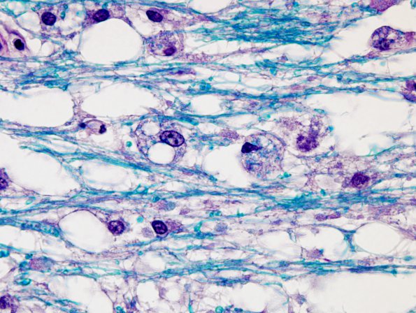
Washington University Experience | MYELIN (NON-IMMUNE MEDIATED) | Central Pontine Myelinolysis (CPM) | 8B9 CPM (Case 8) LFB-PAS 100X
8B9,10 Paired 100X images from this case comparing myelin (LFB-PAS) and axon stained (Bielschowsky) material in near sequential images at multiple magnifications. (100X)
