Table of Contents
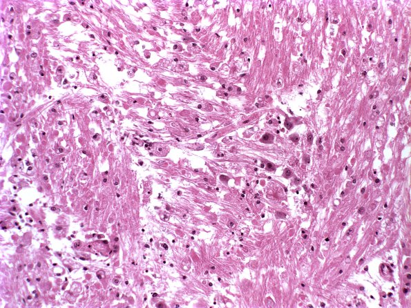
Washington University Experience | MYELIN (NON-IMMUNE MEDIATED) | Central Pontine Myelinolysis (CPM) | 9C CPM (Case 9) H&E 1
9C Higher magnification of the central pons showing active myelin phagocytosis by macrophages, with scattered axonal spheroids and spared pontine neurons (H&E)
