Table of Contents
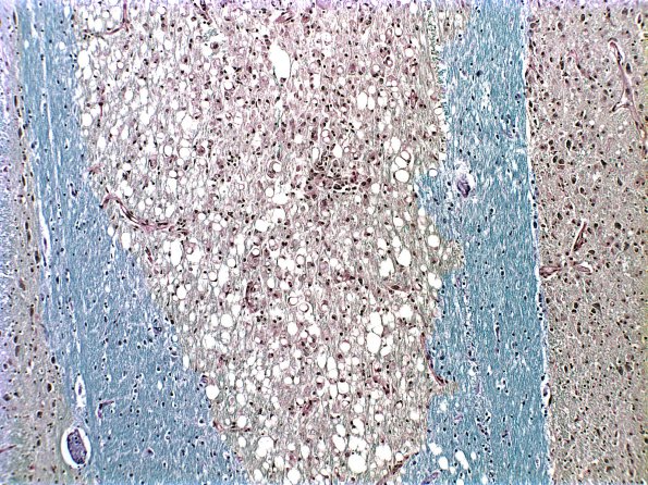
Washington University Experience | MYELIN (NON-IMMUNE MEDIATED) | Central Pontine Myelinolysis (CPM) | 9D1 CPM (Case 9) 1 LFB-PAS part A
9D1,2 Sequential sections stained for myelin (9D1, LFB-PAS) and axons (9D2, Bielschowsky) show nearly complete myelin loss with axonal sparing.
