Table of Contents
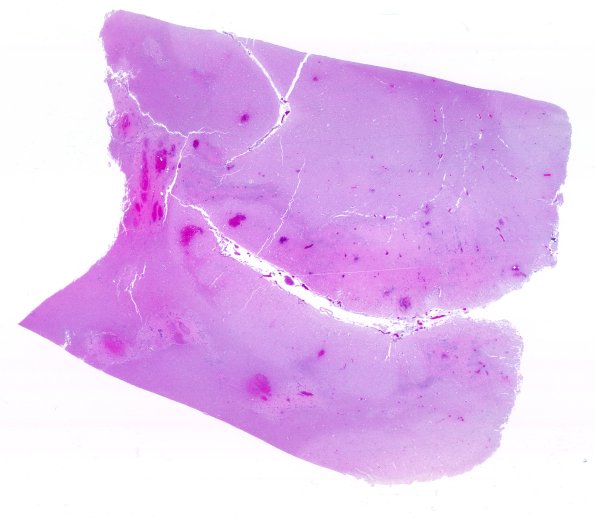
Washington University Experience | MYELIN (NON-IMMUNE MEDIATED) | Fat Embolism | 11C1 Fat Embolism (Case 11) H&E N1 WM
Whole mount of the frontal cortex shows punctate hemorrhages involving white matter as well as overlying cortex. (H&E)
