Table of Contents
« prev
next »
Washington University Experience
|
MYELIN (NON-IMMUNE MEDIATED)
|
Fat Embolism
|
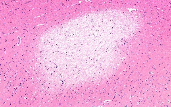
12B12 Fat Embolism (callosum) (Case 12) N13 10X
Lesions were numerous in the corpus callosum and adjacent cingulate gyrus. (H&E)
Image Info
Camera Maker:
Olympus
Camera Model:
DP74
Shutter Speed:
29/47541 sec
Metering Mode:
Multi-Spot
Gallery RSS
|
Archive View
|
Login
|
Powered by
Zenphoto