Table of Contents
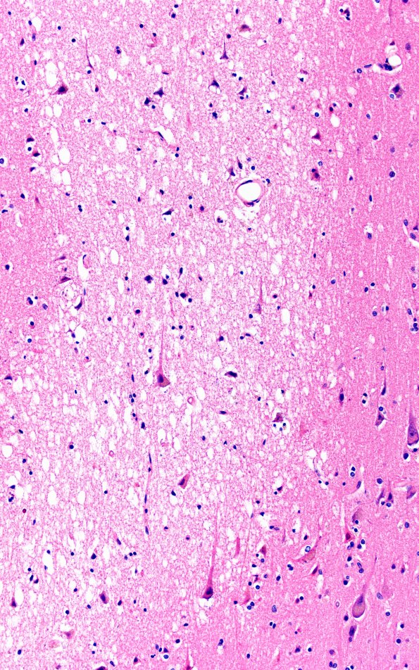
Washington University Experience | MYELIN (NON-IMMUNE MEDIATED) | Fat Embolism | 12B5 Fat Embolism (Case 12) N1 20X 3
12B5,6 Higher magnification demonstrates pallor, edema, eosinophilic neuronal necrosis as well as an occluded vessel (1B6, arrow). (H&E)
