Table of Contents
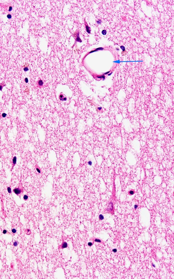
Washington University Experience | MYELIN (NON-IMMUNE MEDIATED) | Fat Embolism | 12B6 Fat Embolism (Case 12) N1 60X copy
Higher magnification demonstrates pallor, edema, eosinophilic neuronal necrosis as well as an occluded vessel (1B6, arrow). (H&E)
