Table of Contents
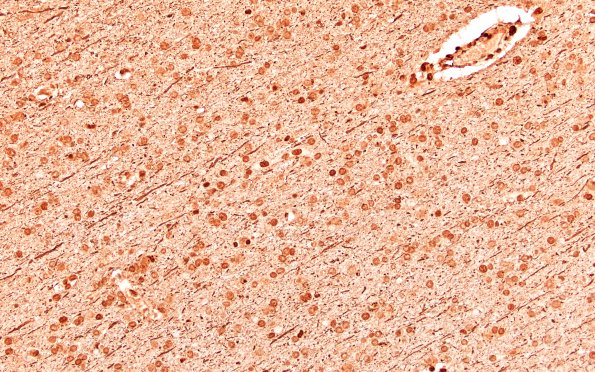
Washington University Experience | MYELIN (NON-IMMUNE MEDIATED) | Fat Embolism | 12D5C Fat Embolism (Case 12) NF 20X E 5
This is the area designated in image #12D2 with an arrow shown at various magnifications demonstrating loss of normal axons and development of axonal spheroids. (NF IHC)
