Table of Contents
« prev
next »
Washington University Experience
|
MYELIN (NON-IMMUNE MEDIATED)
|
Fat Embolism
|
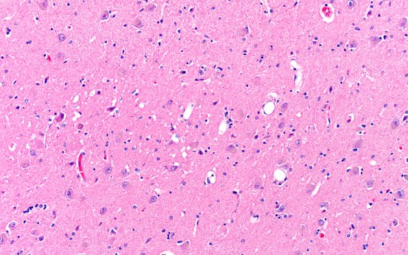
12E4 Fat Embolism (Case 12) N4 20X
There are multiple lesions in the thalamus (12E2-4) (H&E)
Image Info
Camera Maker:
Olympus
Camera Model:
DP74
Shutter Speed:
31/25000 sec
Metering Mode:
Multi-Spot
Gallery RSS
|
Archive View
|
Login
|
Powered by
Zenphoto