Table of Contents
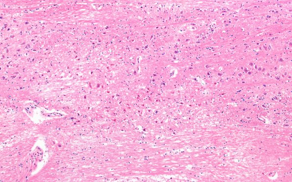
Washington University Experience | MYELIN (NON-IMMUNE MEDIATED) | Fat Embolism | 12F1 Fat Embolism (Case 12) N7 10X
12F1,2 The pons demonstrates multiple infarcts, one of which has eosinophilic neuronal necrosis (12F1) as well as numerous spheroids (arrow, 12F2) in transverse fibers. (H&E)
