Table of Contents
Washington University Experience | MYELIN (NON-IMMUNE MEDIATED) | Fat Embolism | 12F2 Fat Embolism (Case 12) N7 40X copy
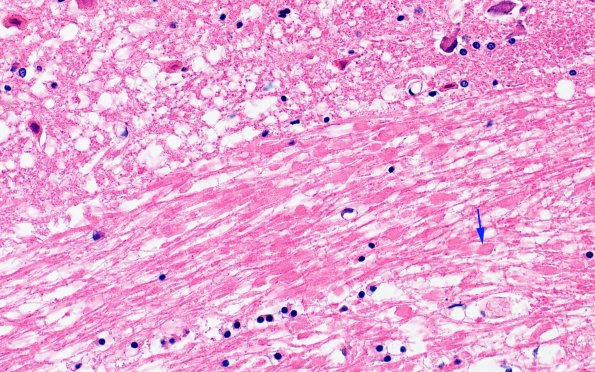
The pons demonstrates multiple infarcts, one of which has numerous spheroids (arrow) in transverse fibers. (H&E)
