Table of Contents
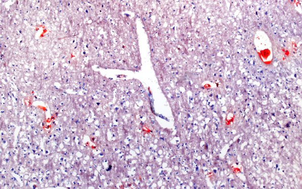
Washington University Experience | MYELIN (NON-IMMUNE MEDIATED) | Fat Embolism | 12G1 Fat emboli (Case 12) ORO 10X 2
Intra vascular neutral lipid is demonstrated in formalin-fixed frozen sections by Oil Red O staining and involves numerous cerebral cortical vessels. (Oil Red O)
