Table of Contents
« prev
next »
Washington University Experience
|
MYELIN (NON-IMMUNE MEDIATED)
|
Fat Embolism
|
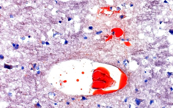
12G6 Fat emboli (Case 12) ORO 40X 4
Higher magnification of #image 12G5. (Oil Red O)
Image Info
Camera Maker:
Olympus
Camera Model:
DP74
Shutter Speed:
49/12500 sec
Metering Mode:
Multi-Spot
Gallery RSS
|
Archive View
|
Login
|
Powered by
Zenphoto