Table of Contents
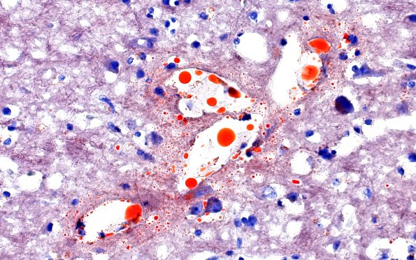
Washington University Experience | MYELIN (NON-IMMUNE MEDIATED) | Fat Embolism | 12G7 Fat emboli (Case 12) ORO 40X 2
12G7,8 Higher magnification images of intravascular lipid; in some cases lipid is also found displaced into the adjacent Virchow-Robin spaces. (Oil Red O)
