Table of Contents
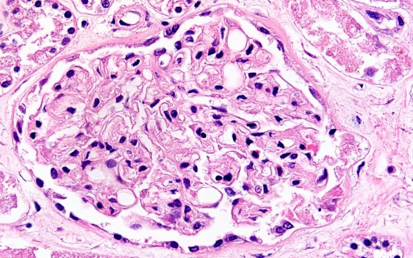
Washington University Experience | MYELIN (NON-IMMUNE MEDIATED) | Fat Embolism | 12H3Fat emboli (Case 12) H&E Renal 60X 1
Glomerular fat emboli may be subtle and involve variable numbers of capillary loops. Additionally, there is acute tubular necrosis. (H&E)
