Table of Contents
« prev
next »
Washington University Experience
|
MYELIN (NON-IMMUNE MEDIATED)
|
Fat Embolism
|
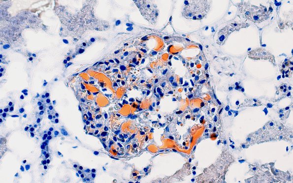
12I1 Fat emboli (Case 12) ORO Renal 40X 5
12I1-3 Intraglomerular fat in capillary loops may be striking. (Oil Red O)
Image Info
Camera Maker:
Olympus
Camera Model:
DP74
Shutter Speed:
9/2521 sec
Metering Mode:
Multi-Spot
Gallery RSS
|
Archive View
|
Login
|
Powered by
Zenphoto