Table of Contents



Washington University Experience | MYELIN (NON-IMMUNE MEDIATED) | Fat Embolism | 4F2 Embolism, fat (Case 4) ORO 1

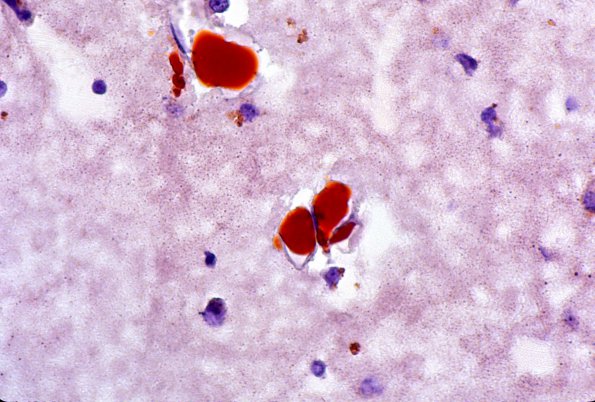
4F2 Embolism, fat (Case 4) ORO 1
Gray matter intravasculature fat emboli (ORO).


Gallery RSS RSS Feed | Archive View | Login | Powered by Zenphoto